
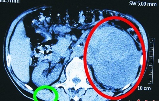
患者王先生的腎臟(圖中綠圈處)和巨大腎腫瘤(圖中紅圈處)。

下午1時許,成功摘除腎腫瘤。
幕后:
想啥手術都做至少要練15年
這次手術對于主刀醫師劉春雷和他的同事來說是非常重要的,因為手術的難度非常大,之前他們開了好幾次碰頭會討論,有了九成以上的把握才決定做這個手術。但這也僅僅是這個科室每月五六十臺手術中的一臺,“明天還有一臺更復雜的手術,整個
“其實這個手術難度雖高,但畢竟單純,要是靜脈里再有瘤栓,清除起來就更麻煩,我曾經做過一臺12小時的手術?!眲⒋豪渍f,這種情況很正常,他們泌尿外科一天四五臺也是常有的事情。
劉春雷說,手術有大有小,行業內的外科大夫也是分級別,外科手術可以分為甲、乙、丙、丁四級,副主任醫師以上的醫生才可以四級手術都能做,“但副主任醫師以上的沒必要做簡單的手術,就在做這些簡單手術的時候在旁邊傳幫帶;而一般的醫生也不能越級進行手術 ”。他說,一名醫生要想所有手術都能做,需要至少15年時間才可以練出來,并且還要不斷學習掌握新的知識。
“一開始,新晉醫生都有一個適應期,心理承受能力等各方面都要承受考驗?!彼榻B,有醫生因為在手術中沒有做到滿意而有了心理陰影,他就要帶領這樣的醫生從簡單的手術重新做起,直到幫其樹立起信心來。
小花絮
無影燈
一提起手術室,大家最先想到的恐怕是無影燈了。記得中學課本上介紹無影燈是把發光強度很大的燈在燈盤上排列成圓形,合成一個大面積光源,手術時沒有陰影投在手術創口上,醫生看得更清楚。但在這個手術室的兩盞無影燈卻很“另類”,僅有一個燈泡向中間聚光,四周材料用以反射光,中間還有一個把手可以調整燈的高低和照射角度,很方便。
護士帽
在手術室內,記者一看旁邊的護士就樂了:“你們的帽子上咋都是小貓、小狗之類的卡通圖案?。俊薄澳阏媸翘玂UT啦!沒看美劇嗎?《實習醫生格蕾》里面戴的就是這種帽子,我們都戴好久了?!币幻懊佬∽o”對記者說,這些漂亮的帽子也都是一次性的。